Tag Archives: smile makeover

Dental

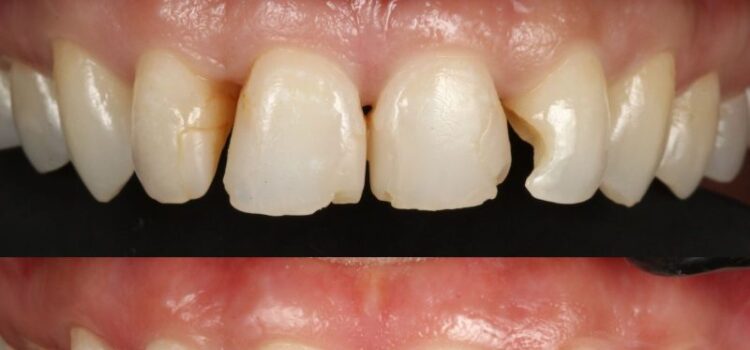
Understanding Composite Bonding

Composite bonding, commonly referred to as cosmetic or dental bonding, is the application of a tooth-colored resin substance to the teeth. The material undergoes painstaking sculpting and polishing to precisely resemble natural teeth, hence improving their aesthetic appeal by addressing...